伊藤歯科クリニック

MENU

子どもが歯みがきを嫌がる…歯みがき指導のコツを教えて!

ブログ

BLOG

子どもが歯みがきを嫌がる…歯みがき指導のコツを教えて!

子どもが歯みがきを嫌がる…歯みがき指導のコツを教えて!

1.お子さんの歯磨きはいつからスタート? 歯ブラシを使っての歯みがきは前歯が生えそろってきてからがスタートです。 それま…

>>続きを読む
ノンクラスプデンチャーは洗浄剤を使って大丈夫?正しいお手入れ方法について

ノンクラスプデンチャーは洗浄剤を使って大丈夫?正しいお手入れ方法について

みなさん、こんにちは。 今日はノンクラスプデンチャーの正しいお手入れ方法についてご紹介します。 お手入れを怠ったり、間違…

>>続きを読む
虫歯の治療を途中で止めてしまったらどうなる?

虫歯の治療を途中で止めてしまったらどうなる?

治療中の虫歯があるのに、途中で歯医者さんに通うのを止めてしまった…そんな経験はありませんか? 止めてしまった人には、さま…

>>続きを読む
自宅でのお口のケア、どうしたらいい?

自宅でのお口のケア、どうしたらいい?

虫歯や歯周病にかからないためには、毎日のご自宅でのセルフケアが大切です。 もちろん、歯科医院での定期検診やメンテナンスは…

>>続きを読む
自覚症状が出てからだと危険?歯周病で歯がなくなるメカニズム

自覚症状が出てからだと危険?歯周病で歯がなくなるメカニズム

日本人が歯を失う原因の第1位は、「歯周病」です。 公益財団法人8020推進財団による「永久歯の抜歯原因調査報告書/200…

>>続きを読む
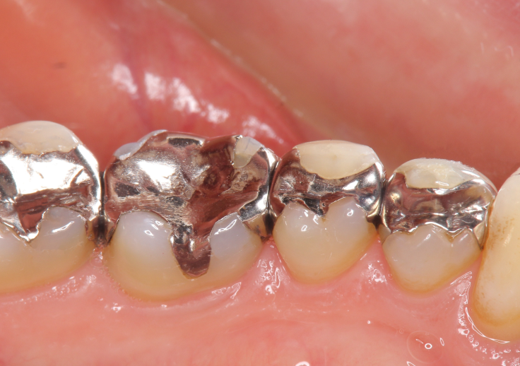
一生物ではなかった銀歯の寿命

一生物ではなかった銀歯の寿命

いつ治療したのか、すぐに思い出せないほどの昔に入れた「銀歯」…今もお口の中に残っていませんか? 昔は、虫歯治療といえば銀…

>>続きを読む
フッ素の効果、予防に効く?

フッ素の効果、予防に効く?

「歯の予防にはフッ素が良い」と耳にしたことは、ありませんか?フッ素は歯みがき剤にも含まれていますし、TVCMでもその効果…

>>続きを読む
インプラントにすると生活がどう変わるのか?

インプラントにすると生活がどう変わるのか?

失った歯を代用する治療のひとつ「インプラント」。歯の機能を、ほぼ天然歯と変わらない領域まで回復させることができる非常に優…

>>続きを読む
40代の口腔ケア、歯を残すために大事なこと

40代の口腔ケア、歯を残すために大事なこと

40代は、体力の低下や身体の変化を実感することが増える時期。 10代~20代の頃、「歯は丈夫な方だから大丈夫!」と思って…

>>続きを読む
伊藤歯科クリニックは「サムライセブン」のオフィシャルスポンサーです! 名古屋大学ラグビー部OBOG会|山之上倶楽部 スポンサー募集
©Ito dental clinic